
ガマ腫ってなんでしょう。
舌下(ぜっか)部、口底部に生じた貯留嚢胞(ちょりゅうのうほう)をいいます。
透明感のある半球状のふくらみで、ガマガエルののどに似ているのでがま腫と呼びます。
唾液腺(だえきせん)で作られた唾液が排出障害を起こして、
組織中にもれ出し、唾液をためた袋状の病変ができたものです。
舌下腺という粘液性の唾液を作る唾液腺に関連して発生します。
口底部の粘膜下に片側性に発生し、徐々に大きくなり、
嚥下(えんげ)時などの舌の運動を損なうようになります。
唾液をつくる唾液腺は大きなものが3対あります。
①が耳下腺、②が顎下腺、③が舌下腺です。
今まではガマ腫の治療といえば、開窓療法が一般的でした。
![neneki_nouhou-08[1]](https://www.wakabaekimae.com/blog/wp-content/uploads/2014/02/neneki_nouhou-081.jpg)
開窓療法は簡単な処置ですが、ガマ腫の再発率は高く53%もあります。
唾液を作る舌下腺の摘出が最も効果的な治療になりますが、
それでも再発率は2%あります。
舌下腺の摘出は入院しての手術になりますし、手術による偶発症も考えられます。
これが舌下腺の摘出術です。

手術時に舌神経を傷つけてしまうと、舌の麻痺が生じます。
舌の感覚が無くなります。
外科的に治療しないで注射で治療することをお勧めします。
OK-432療法といいます。
ピシバニールという抗癌剤をガマ腫の中に注入します。
2回~5回一月間隔で注射します。90%の治癒率です。
外科的な処置の前に、まずこの治療法を試してください。
外科処置後では、OK-432療法は効果がほとんど出ません。

ピシバニールはA群溶血性連鎖球菌の弱毒の自然変異株(Su株)をペニシリンで処理した製剤です。
重要な点は溶血性連鎖球菌としての性質を残したまま増殖できないように処理した点です。
注射した場所に強い炎症を引き起こし、種々のサイトカイン(免疫因子)を産生させることにより、
免疫増強作用をおこします。
約40年近く使われている実績のある抗癌剤です。
OK-432を注射した場合、注射局所は強い炎症を起こしますが、
瘢痕(組織が硬く萎縮)を残さずに治癒することが特徴です。
この点も従来行われてきたアルコール注入療法より優れています。
副作用として2日くらい発熱することがあります。
あなたが親なら、7歳の子供にどの治療法を受けさせますか?
開窓? 入院して舌下腺摘出?
僕ならピシバニール OK432療法を選ぶと思います。
実際の治療はこんな感じです。
あっけないくらいすぐに終わります。


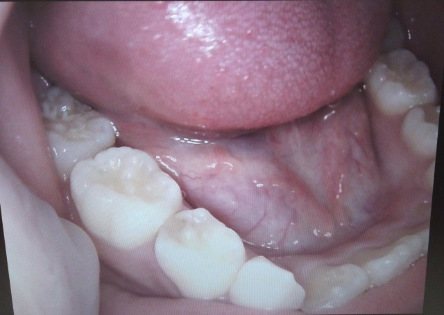
治療直後です。痛みはありません。
一週間後です。


炎症が強くなってきていますが、痛みはありません。
今回は注射後の発熱はありませんでした。
腫れればそれだけ炎症反応が起きているということですから、
腫れただけ効果が出ます。
一か月後です。


ピシバニールの注意点ですが、ペニシリンアレルギーのある方には使えません。
3歳児から使用することができます。
ガマ腫ができたら、一度ご相談くださいね。
若葉駅前歯科